A poluição e as doenças transmitidas pelo ar
As bactérias são microrganismos que não podemos visualizar a olho nu, mas elas existem e podem viver livremente no ar, nos infectando. Entenda a tuberculose!
Por Victor Palandi
A tecnologia deveria ser uma aliada para combater a poluição, como na criação de aparelhos, motores e filtros, que impedissem ou barrassem a poluição do ar. É necessária a liberação de recursos para estudos e pesquisas pelos nossos governantes, e novos métodos e formas de se evitar que os poluentes atingissem o ar atmosférico prejudicando a camada de ozônio.
Resumo:
Agentes causadores da poluição
- A fumaça dos poluentes dos carros prejudica de forma muito elevada o meio ambiente e a todos os seres vivos;
- As chaminés das fábricas liberam quantidade elevada de substâncias tóxicas todos os dias. É sabido que muito pouco já foi feito e que há ainda muito a se fazer;
- Os gases que saem dos esgotos, das fossas, de restos de animais e de plantas em decomposição;
- A poeira que existe nas ruas, principalmente, as que não são asfaltadas;
- No ar, encontramos microrganismos (bactérias e vírus), que se misturam no ar atmosférico e são causadores de doenças contagiosas;

Todos esses agentes atuam de forma agressiva causando várias doenças e prejudicando o meio ambiente de forma catastrófica. É necessário que surjam medidas e que providências sejam tomadas para eliminar ou diminuir os agentes causadores da poluição.
As bactérias são microrganismos que não podemos visualizar a olho nu, mas elas existem e podem viver livremente no meio ambiente ou em outros seres vivos que servem como parasitas.
Você já ouviu falar em bacilo de Koch ou Mycobacterium tuberculosis? Não! Então vamos aprender!
Tuberculose
O bacilo de Koch ou Mycobacterium tuberculosis é uma bactéria que ataca tanto o homem quanto os animais. Ele desencadeia uma doença contagiosa e pode atacar vários órgãos do nosso organismo, debilitando de forma grave e perigosa, levando o paciente à morte.
A pessoa contaminada, ao tossir, libera no ar gotículas de secreção que estão contaminadas com o bacilo vivo. Qualquer pessoa saudável que inspirar essas gotículas contaminadas poderá adquirir a doença.
É preciso muita higiene quando se está com turberculose, pois além de contaminar o ar, o bacilo pode contaminar roupas de cama, talheres, pratos, copos e outros objetos utilizados pela pessoa contaminada. É necessário que todos os objetos sejam esterilizados e fervidos.

Essa doença pode ser confundida como um resfriado muito forte, mas na verdade é muito mais do que isso! Os sintomas dela são: febre, tosse com catarro, emagrecimento, palidez, falta de apetite e fraqueza.
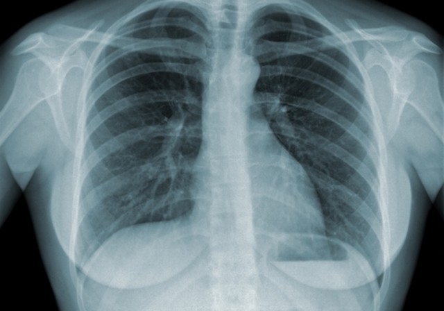
A tuberculose precisa ser tratada de forma rápida, pois os bacilos alojados nos pulmões destroem os outros órgãos. Apenas com uma radiografia o médico pode diagnosticar a doença e indicar o tratamento correto.

Gengivite – Definição, sintomas, prevenção e tratamento
O que é cirurgia bariátrica?
Suplementação alimentar é realmente necessária?
Descubra como identificar os sintomas da dengue
Confira dicas para estudantes manterem a saúde mental durante a quarentena