Como funciona um marca-passo
Por Victor Palandi
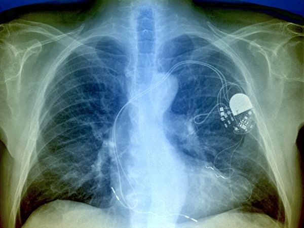
O marca-passo é um dispositivo pequeno e leve que fornece estimulação elétrica, que é feito por um gerador de pulsos e eletrodos, ao coração. Esse gerador elétrico é constituído por um circuito eletrônico miniaturizado e também com uma bateria compacta. Esse equipamento é muito importante para algumas pessoas que têm problemas no coração.
Resumo:
Mas como funciona o marca-passo?
Simples, o marca-passo recebe e envia sinais elétricos que são gerados tanto pelo coração como também pelo gerador. Isto acontece por meio da interação entre o eletrodo que manda a energia e o gerador que a recebe, processa informações e envia estímulos de volta para o coração.
O marca-passo é considerado um mecanismo complexo que depende do perfeito estado de interação entre o eletrodo, ou seja, o fio, e o coração do paciente. Hoje em dia, esta interação tem a capacidade de notar o aumento na necessidade do coração, em razão das medidas consecutivas de impedância, ou aumento da necessidade de frequência cardíaca quando o paciente faz alguma atividade física. Sendo assim, o gerador de pulso é o cérebro de todas estar informações.

Tipos de marca-passos
Existem dois tipos de marca- passo para o coração, são eles:
Marca-passo câmara única: nesse dispositivo o eletrodo é instalado no ventrículo direito do paciente, ou seja, na parte inferior do coração.
Marca-passo câmara dupla: já nesse caso são colocados dois eletrodos, um que fica no átrio e outro que se instala no ventrículo direito.
Quando o marca-passo é utilizado?
O dispositivo é utilizado para aumentar a frequência cardíaca de paciente com doenças que diminuem as propriedades elétricas do coração, o que pode ser conhecidas como bradicardias ou bloqueios.
O marca-passo é importante mesmo?

Além de doenças também tem o processo de envelhecimento que podem afetar o ritmo normal do coração, o que consequentemente fará com que o mesma bata de forma irregular ou lenta, logo, resultando em sintomas como sensação de fraqueza, cansaço, vertigens e desmaios. O dispositivo pode oferecer para o coração do paciente a ajuda necessária para aliviar ou erradicar esses sintomas, fazendo com que traga maior segurança no momento de fazer atividades físicas.
A cirurgia do marca-passo
Nessa situação, existem dois tipos mais comum de cirurgia, sendo a endocárdica, que é a introdução dos eletrodos do marca-passo por meio de veias que chegam até o coração e também tem a cirurgia epicárdica. Nesse segundo método é mais comum ser feito com crianças, pois é realizado sob anestesia geral, e os eletrodos são colocados diretamente no músculo cardíaco e o marca-passo em uma bolsa criada bem abaixo da pele no abdome.
Com essas informações é mais fácil entender como funciona um marca-passo. Então compartilhe!

Como eliminar as caspas de uma vez por todas?
Tipos de câncer que mais surgem na atualidade
A energia é proveniente dos alimentos; confira!
Prevenção do câncer de mama
Poliomielite e Vacina Pentavalente