As aneuploidias

As aneuploidias
As aneuploidias ocorrem sempre quando há um aumento ou diminuição de cromossomos, no entanto esta alteração acontece só em uma parte dos cromossomos. 

A origem das aneuploidias pode ser de anormalidades que ocorreram na meiose I, na meiose II, ou até mesmo na mitose, este erro é conhecido como não-disjunão. 

As aneuploidias podem ser: monossomia, polissômia, nulissomia.

Monossomia
A monossomia é quando há perda de um dos cromossomos, pode também ser indicado por 2n – 1. 

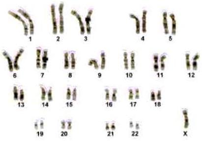
Veja um exemplo de Monossomia da espécie humana:

Síndrome de Turner 
Um exemplo de monossomia é a Síndrome de Turner, uma anomalia que atinge indivíduos do sexo feminino. 

Tais indivíduos tem seu cariótipo representado por 45,X, ou seja, caracterizado pela falta do segundo cromossomo sexual, e por apresentar apenas 45 cromossomos (46 seria o normal). 

A freqüência desta síndrome é de uma ocorrência para 3.000 nascimentos, pois na maioria dos casos se resultam em aborto.
A síndrome de Turner pode ser reconhecida no início da puberdade, pela falta de características desta fase da vida. Um exemplo disto é a amenorréia (ausência de menstruação), o não desenvolvimento dos órgãos sexuais, ausência de pelos pubianos. 

Outras características podem ser observadas nestes indivíduos, como estatura baixa, alterações cardíacas e ósseas, pescoço alado, e fisionomia senil. 

Logo após o nascimento, tal anomalia pode ser suspeitada por inchaços continuados nas mãos e nos pés. Vejamos um cariótipo de uma mulher que possui a síndrome de Turner. 

Polissomia 

É quando ocorre o aumento de um ou mais cromossomos em um genoma. Estes seres são representados como: trissomia (2n+1), tetrassomia (2n+2), pentassomia (2n+3), hexassomia (2n+4), e assim por diante. 

Veja alguns exemplos de Trissomia em seres humanos: 

Síndrome de Down 

A Síndrome de Down é uma anomalia causada pela trissomia do cromossomo 21. 

Os portadores desta anomalia apresentam 47,XX, ou 47,XY, ou seja apresentam um cromossomo a mais do que o normal, e tal cromossomo está ligado ao par 21. 

Entre aproximadamente 600 nascimentos, um apresenta a Síndrome de Down. 

A aparência destes indivíduos é muito característica, como por exemplo, a face achatada, porém, um ponto muito marcante é o retardamento mental, pois apresentam um QI de 15 a 30. 

Vejamos um cariótipo de uma pessoa que possui a síndrome de down: 

Síndrome de Klinefelter

A Síndrome de Klinefelter afeta somente indivíduos do sexo masculino. 

O cariótipo de tais indivíduos é representado por 47, XXY, ou seja, apresentam um cromossomo X a mais do que o normal. 

Os homens portadores da Síndrome de Klinefelter são estéreis, pois apresentam testículos com um tamanho inferior ao normal, não tendo a capacidade de produzir espermatozóides. 

Apresentam também uma escassez dos pêlos pubianos, crescimento das mamas, corpo eunucóide, e um retardamento intelectual. Vejamos um cariótipo de uma pessoa que possui a Síndrome de Klinefelter. 

Síndrome de Edwards

A síndrome de Edwards é resultado de uma trissomia do cromossomo 18. 

As características desta anomalia são: retardo mental, pés tortos, estatura baixa, malformação das orelhas, Lábio leporino, problemas cardíacos e problemas de visão.

Síndrome de Patau

A síndrome de Patau é resultado de uma trissomia do cromossomo 13. 

As características dessa anomalia são: retardo mental, Palato fendido, lábiol leporino, e surdez.

Síndrome do triplo X

Esta Síndrome atinge mulheres com cariótipo 47, XXX. 

As afetadas possuem características aparentemente normais, na maioria das vezes são férteis, porém apresentam um pequeno nível de retardamento intelectual.

Entre aproximadamente 700 nascimentos, uma mulher possui a Síndrome do triplo X.

Síndrome do tetra X

Ocorre em mulheres com cariótipo 48, XXXX e 49, XXXXX é uma raridade este tipo de anomalia, que é caracterizada pelo crescimento gradual de retardamento mental.

Nulissomia

A nulissomia ocorre quando há perda dos dois cromossomos, pode também ser indicado por 2n – 2. 

Para os seres diplóides (2n), o resultado disso é fatal na maioria das vezes.

Pela Web

Sair da versão mobile